胃カメラとは
胃カメラは、胃の表面(粘膜)を直接観察し病気をチェックする検査です。胃を中心に観察しますが、同時に食道、十二指腸の表面もチェックします。
胃がん、食道がん、胃潰瘍などの病気を見つけるために一番有効な検査です。
つるみクリニックの胃カメラのおすすめポイント!
- 日本消化器内視鏡学会の消化器内視鏡専門医が検査を行います。
- 適切に鎮静剤、鎮痛剤を使用し苦痛の少ない検査を行います。
- オリンパス社の最先端の内視鏡システム、内視鏡スコープで検査を行います。
- 検査終了後に検査写真を供覧し、結果を丁寧に説明します。
- 胃がん、大腸がんなど治療すべき病気があれば、速やかに連携している総合病院へご紹介します。
胃カメラがすすめられる方
胃カメラで見つかる病気
胃がん
胃がんによる死亡数は、男性では肺、胃についで3番目に、女性では大腸、肺、膵臓、乳についで5番目に多いです(がんの統計2023)。
胃がんと新たに診断される人は、男性では前立腺についで2番目に、女性では乳、大腸がん、乳がん、肺がんについで4番目に多い病気です(がんの統計2023)。
早期胃がんでは、症状はほとんどなく、胃カメラによる早期発見、早期治療が重要です。進行胃がんでは、”がん”からの出血よる貧血、黒い便が出る、全身倦怠感、体重減少といった症状が出ます。
その他、家族に胃がんの人がいる、ピロリ菌除菌したことがある方も、胃がん発症しやすい傾向にあり、毎年に胃カメラによる検査が勧められます。
当クリニックの胃カメラで見つかった胃がん
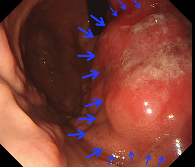
進行胃がん
64歳男性。
症状なし。検診のバリウム検査で再検査となり内視鏡による再検査を施行。
胃体上部から胃体下部(胃の上側から中部にかけて部位)に進行胃がんを疑う広範な隆起性病変(周囲より盛り上がった状態)あり生検するとがん細胞を認めた。
広島市民病院に紹介し胃全摘術(外科手術)を施行された。

早期胃がん①
79歳男性。
症状なし。広島市胃がん検診で胃内視鏡検査施行。
噴門部(胃の入り口側)に陥凹病変(周囲よりへこんだ状態)があり胃がんを疑い生検するとがん細胞を認めた。
広島記念病院に紹介し噴門側胃切除術(外科手術)施行された。

早期胃がん②
60歳女性。
2週間より胃痛あり。
胃内視鏡検査の希望あり施行。
胃前庭部(胃の出口付近)に発赤調の陥凹病変あり生検しがん細胞を認めた。
広島市民病院に紹介し内視鏡的胃粘膜切除術施行(胃内視鏡を使用してがんを切除する治療)された。

食道がん
食道がんによる死亡数は、肺、胃、大腸、肝臓、膵臓、前立腺に次いで7番目に多く、女性では、10番目以降となっています。男女比が約6:1と男性に多く、飲酒、喫煙が発生のリスクとなります(日本食道学会:https://www.esophagus.jp/public/cancer/epidemiology.html)。
食道がんは周囲の臓器に浸潤しやすい傾向(がんが広がりやすい)があり、内視鏡検査(胃カメラ)による早期発見、早期治療が特に重要です。
飲み込み時のつかえる感じ、嘔気・嘔吐、胸やけがある方は、内視鏡検査(胃カメラ)が受けることが勧められます。
当クリニックで見つかった食道がん
進行食道がん
76歳女性。飲酒、喫煙なし。
2週間より食事が喉につまる、つかえる感じがあった。最近、嘔吐もあった。
精査目的に胃内視鏡検査施行。
①中部食道に狭窄部(狭くなったところ)あり食物残渣貯留を認めた。
②、③食物残渣の先に最狭窄部(最も狭いところ)あり、何とか内視鏡は通過。
④最狭窄部を超えてすぐの下面に食道がんを疑う扁平病変(平坦な状態)あり生検しがん細胞を認めた。
広島市民病院に紹介し抗がん剤治療後、後胸腔鏡下食道亜全摘術、開腹胃管作成された。

早期食道がん
70歳女性。
症状なし。飲酒、喫煙なし。
広島市がん検診で胃内視鏡検査施行。
①食道中部に褪色調(周囲と比較して色が淡い)の隆起性病変あり。隆起の頂部には陥凹面を認める。
②送気(空気を入れること)して食道を膨らませると隆起は一部を残して扁平となる。
③近接すると病変隆起に沿って周囲の正常の食道上皮(表面)と境界を認める。
④NBI観察(血管を強調して観察する技法)では隆起した病変内に食道がんに特徴的な太い血管の走向が見られる。
生検し生検しがん細胞を認め食道がんと診断。県立広島病院に紹介し外科的手術と放射線療法を提案され放射線治療を希望された。

逆流性食道炎
逆流性食道炎は、胃内部の胃酸が食道に上がってくる(逆流)ことで、食道下部の表面に炎症を及ぼす状態です。1990年代後半より増加傾向にあり、ピロリ菌感染者の低下、ピロリ菌除菌の増加が原因と考えられています。
ピロリ菌感染が胃がん発症リスクとなるが判明してから、積極的な除菌治療が普及しました。胃のピロリ菌は、胃酸を弱める成分を作り出し胃に存在していましたが、ピロリ菌の除菌によって胃酸分泌が復活することで逆流性食道炎が発症します。
症状は、焼けるような感覚の胸焼け、胃の内容物が喉や口の付近まで上がってくること(呑酸)などが典型的です。症状の原因が、食道がんが逆流性食道炎か見分けるためにも、内視鏡検査(胃カメラ)が必要です。
当クリニックで見つかった逆流性食道炎
逆流性食道炎-GradeD
70歳女性。
変形性脊椎症による亀背(背骨が前方に極度に曲がった状態)あり、体調不良などで容易に嘔吐する。胸やけ、口が酸っぱい感じなど症状があった。
精査目的に胃内視鏡検査施行。
下部食道から胃食道接合部にかけて4条の白苔を伴う線状びらん(表面が浅く損傷している状態)を認める。胃食道接合部では全周性のびらんとなりGredeDの逆流性食道炎と診断。
胃酸抑制薬を処方しても症状、内視鏡所見とも改善なし。
手術も検討されるため広島市民病院に紹介した。

胃・十二指腸潰瘍
2000年以前は比較的多い病気でしたが、その後は減少傾向にあります。ピロリ菌感染、鎮痛薬、ストレスなどが、主な発症リスクです。
近年では高齢者の増加に伴い、関節痛、腰痛症に対する鎮痛薬、血栓性疾患(脳梗塞、心筋梗塞、狭心症)予防に対する低容量アスピリンが多く処方されており、薬物性潰瘍(NSAID潰瘍)の発症数が増加傾向です。(消化性潰瘍診療ガイドライン2020 改訂第3版 日本消化器病学会)
症状は腹痛(みぞおち付近の鈍痛)、貧血によるふらつき、黒い便が出る、血を吐くなどです。これらの症状がある人は、早めの胃カメラが勧められます。
当クリニックで見つかった胃十二指腸潰瘍
十二指腸潰瘍
84歳男性。
食事摂取不良でぐったりして黒い便が出てている。
上部消化管(食道、胃、十二指腸)からの出血を疑い胃内視鏡検査施行。
十二指腸球部から下行部に白苔(白い付着物:潰瘍が治ってくる過程で出てくる浸出物)、コアグラ(黒い付着物:出血した後)を伴う潰瘍が多数あり。
十二指腸潰瘍と診断し広島赤十字・原爆病院に紹介。同日入院となった。

胃・食道静脈瘤は、食道や胃の入口の血管(静脈が)が、こぶ状に膨れ出たものです。食道や胃の周りは細い血管が走行していますが、肝硬変では、本来肝臓に流れ込むべき大量の血液が、肝臓で処理しきれずに食道や胃の周りの細い血管に迂回し流れ込みます。その結果、細い血管にかかる圧力が高くなり、こぶ状に膨らみ発症します。
ウイルス性肝炎、アルコール性肝障害などによる肝硬変が発症リスクとなります。症状は血を吐く、食道のつかえ感などです。診断には、胃カメラ(内視鏡検査)が必須となります。
アニサキス症
アニサキス症は、アニサキス亜科の線虫による寄生虫症です。主な感染経路は、アニサキス幼虫が寄生した海産魚介類の生食による経口感染です。
寄生魚類はサバ、イカ、サケ、タラ、マス、ニシン、イワシ、サンマ、アジ、カツオなど多種にわたります。年間発生症例は 2,000~3,000 例と推定され、発生時期は冬場に多く夏場に少ないとされています。
潜伏期間は1時間(食後すぐ)から数日(通常8時間以内)で、胃アニサキス症では激しいみぞおちの痛み、吐き気、嘔吐を起こします。
腸アニサキス症は下腹部痛や腹部膨満感があり、まれに腸閉塞や消化管穿孔など重篤な合併症を起こすことがある。
治療は、胃アニサキス症では胃内視鏡で生検鉗子を使用し虫体摘出します。腸アニサキス症など内視鏡が到達困難な部位では対処療法を行いつつ自然排出を待ちます。
(参考 :JIHS 国立健康危機管理研究機構 感染症情報提供サイト https://id-info.jihs.go.jp/diseases/a/anisakis/index.html 2025年9月10日)。
当クリニックで見つかった胃アニサキス症
胃アニサキス症
43歳男性。
前日にスーパーで購入しサバの刺身を二切れ摂取した。翌朝より著明な腹痛あり受診。
経緯から胃アニサキス症を疑い精査目的に胃内視鏡検査施行。
①胃体下部大弯側に小さなひも状の物体が付着している。
②近づいて観察しアニサキスの虫体であることを確認した。
③さらに近づいて観察するとアニサキスが頭部を胃壁に突っ込んでいるところが確認された。
④生検鉗子でアニサキスを除去し頭部を突っ込んでいたところを観察し虫体の残存は認めなかった。
アニサキス除去後より徐々に腹痛は改善し帰宅。




萎縮性胃炎
ピロリ菌(Hericobactor.pylori菌)感染、または除菌後の胃の表面(粘膜)に炎症性変化と萎縮性変化を認める胃炎です。萎縮性胃炎の大きな問題点は、胃がんです。
ピロリ菌感染の胃は、未感染と比べて約3%胃がんを発症しやすくなります(Uemura N, Okamoto S, Yamamoto S, et al : Helicobacter pylori infection and the development of gastric cancer. N Engl J Med 345 ; 784―789 : 2001)。
ところが、ピロリ菌を除菌しても胃がんの発症率は、約0.2%です(Kamada T, Hata J, Sugiu K et al. Clinical features of gastric cancer discovered after successful eradication of Helicobacter pylori : results from a 9-year prospective follow-up study in Japan. Aliment Pharmacol Ther 2005;21:1121-6.)。
したがって、ピロリ菌の除菌治療歴のある方は1年に1回の定期的胃カメラによる胃がんスクリーニング検査が勧められます。
胃・食道静脈瘤
胃・食道静脈瘤は、食道や胃の入口の血管(静脈が)が、こぶ状に膨れ出たものです。食道や胃の周りは細い血管が走行していますが、肝硬変では、本来肝臓に流れ込むべき大量の血液が、肝臓で処理しきれずに食道や胃の周りの細い血管に迂回し流れ込みます。その結果、細い血管にかかる圧力が高くなり、こぶ状に膨らみ発症します。
ウイルス性肝炎、アルコール性肝障害などによる肝硬変が発症リスクとなります。症状は血を吐く、食道のつかえ感などです。診断には、胃カメラ(内視鏡検査)が必須となります。
胃カメラの流れ
初診から検査の流れをご案内します。
検査前日
検査が朝の予定の場合、検査前日は夕食を22時までに済ませてください。
水分(お水・お茶・スポーツドリンク)の摂取は可能です。
検査日
検査が午前の予定の場合、朝食は食べないで来院してください。
検査が午後の予定の場合、昼食は食べないで来院してください。
水分(お水・お茶・スポーツドリンク)の摂取は可能です。
来院後、検査同意書を記載してください。
お薬手帳があれば持参してください。
検査
胃の泡を消すお薬を飲んでいただきます。
喉にスプレータイプの表面麻酔をします。
ご希望に応じて鎮静薬(麻酔薬)を使用します。
検査時間は10分から15分程度です。
検査後
鎮静薬を使用した場合、目が覚めるまでベッドで休んでいただきます。
目が覚めたら後、写真を見ながら説明します。
生検(組織検査)を行った場合、後日結果説明がありますので来院をお願いします。
*鎮静剤を使用しますと、事故の原因となることがありますので、当日の車、バイク、自転車の運転はお控えください。
胃カメラの検査費用
料金表(保険診療)
| 検査内容 | 1割負担の方 | 2割負担の方 | 3割負担の方 |
|---|---|---|---|
| 胃カメラのみ | 約1600円 | 約3300円 | 約4800円 |
| 胃カメラ+生検(細胞検査) | 約2900円 | 約5900円 | 約8900円 |
料金表(広島市がん検診、原爆検診)
| 検査内容 | 70歳以上の方 | 70歳未満の方 |
|---|---|---|
| 胃カメラ(生検した場合は、別途料金発生) | 無料 | 3300円 |








